
Bilateral Replacement
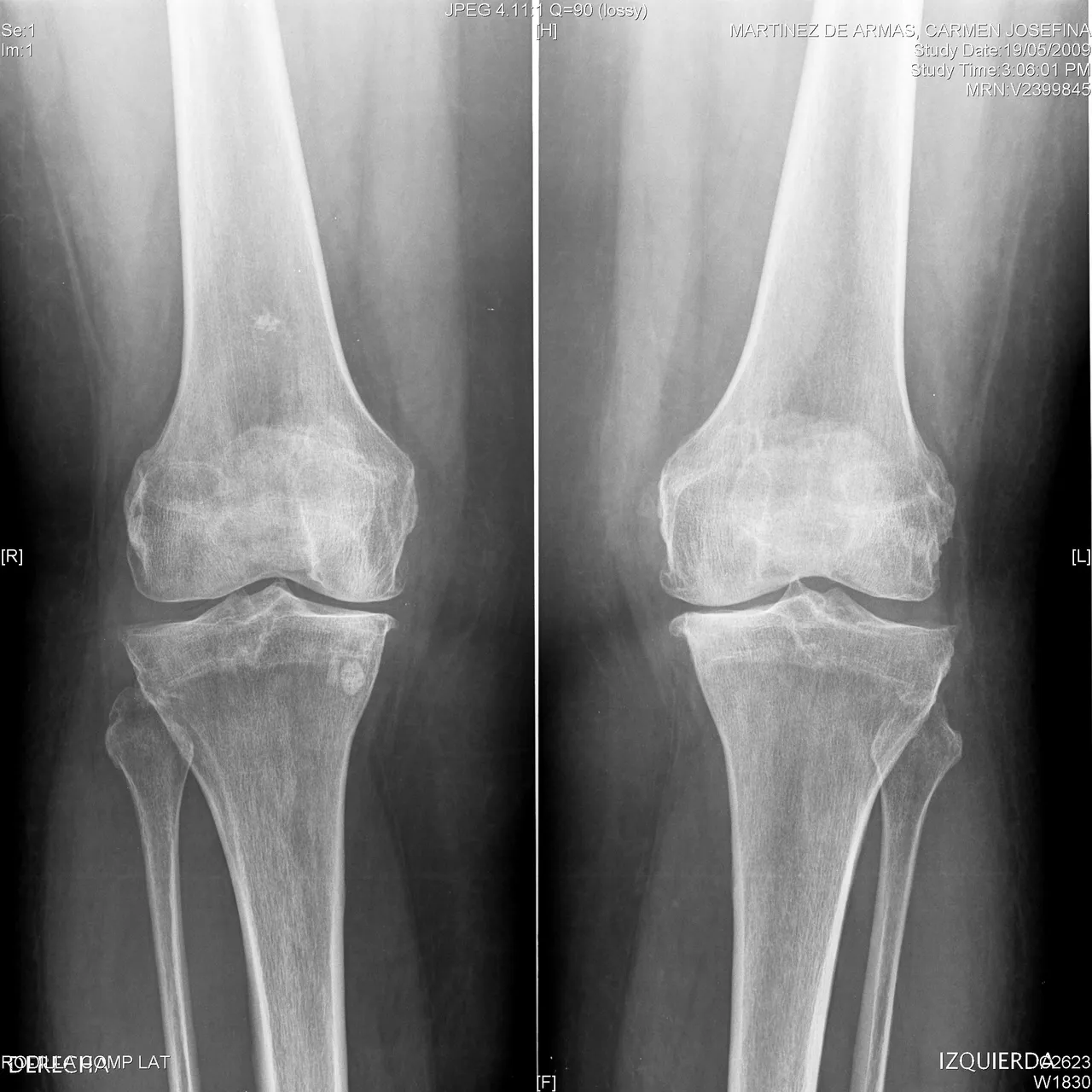
Bilateral degenerative pathology in the knees is very frequent and incapacitating. The management offered in advanced cases is prosthetic replacement. The knee undergoes mechanical and degenerative changes with age, the particular activity of each person, their physical characteristics and, added to this, chronic diseases.
People in the sixth decade of life continue to be the most affected, since due to their lack of activity, they offer less resistance to knee wear, which alters their normal physiological axis and causes severe angular deformities.
Bilateral affection and severe knee pain are common and their treatment may be timely, total, definitive and bilateral; however, the costs involved in bilateral knee replacement are high and inaccessible to most people. In such a case, it is often chosen to offer palliative treatments, inexpensive and allowing the activities of the patient.


Simultaneous operation?
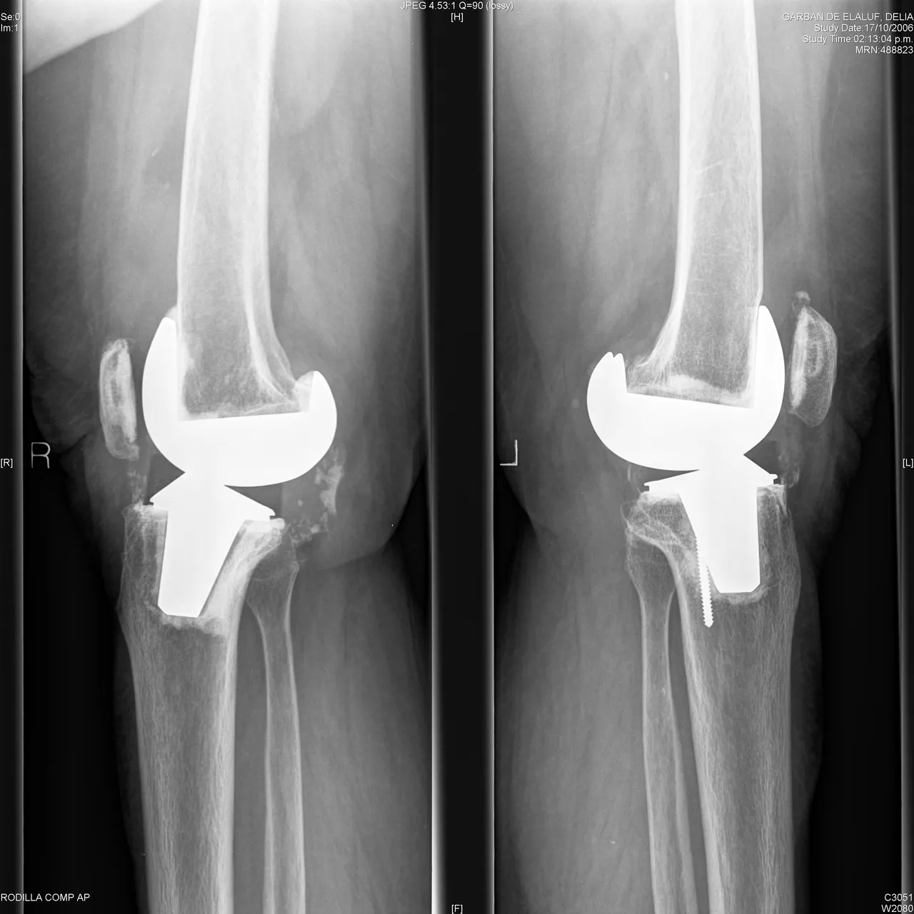
Recent studies mention that practicing bilateral arthroplasty consecutively increases satisfaction and good functional status in patients over 75 years of age. When performing comparative studies between bilateral and unilateral prostheses, the results in both were good, although the cardiovascular risk increased in bilateral prostheses during the postoperative period. In a report from China, bilateral arthroplasty in people with rheumatoid arthritis improved pain and function in all patients, wounds healed without problems, few cases of thrombophlebitis were found and a low infection rate in 45 post-operative patients, which showed that using the consecutive technique has the following advantages: low cost, savings in blood loss, reduced risk of anesthesia, the effect of the drugs administered and hospitalization time, which facilitates early rehabilitation.



Results
There are studies that compare the placement or not of patellar component in bilateral arthroplasties, with similar results, only that when no patellar component was placed, they presented pain when standing or going up and down stairs; our patients did not receive the patellar component. The type of system to be used was compared in Switzerland, analyzing the advantages of each one; no long-term differences were found; yes with asymmetries in the movement of the patient in the mentioned systems. We consider that the system used is the one the surgeon handles best; the advantages provided by new systems on the market are recognized beforehand, purifying the surgical time for their placement.
Other studies show us their experience when comparing unilateral and bilateral treatments; again, they find more benefits when performed consecutively: lower cost, excellent functional results, short rehabilitation period and bilateral benefit, in addition the risks are minimal compared worldwide and the greater benefits compared with a unilateral form; the best, the patient's satisfaction and his integral benefit.
Performing total bilateral knee replacements is a reproducible option and we can suggest that practicing them consecutively is what in the group presented the best results, is the most balanced method in terms of its advantages and disadvantages, likewise, we did not find an increase in surgical risk or major complications.
Dr. Leopoldo Maizo - Orthopedic Surgeon


Firma diseñada por @themonkeyzuelans, contáctalos vía Discord "themonkeyzuelans#9087"
Great projects from the Steemit community:
- My Fundition campaign: https://fundition.io/#!/@drmaizo/6f88ggj8h



